男子体检发现胸腔藏了一根缝衣针 十余年“与针共存”奇迹
沄森™2026-04-02
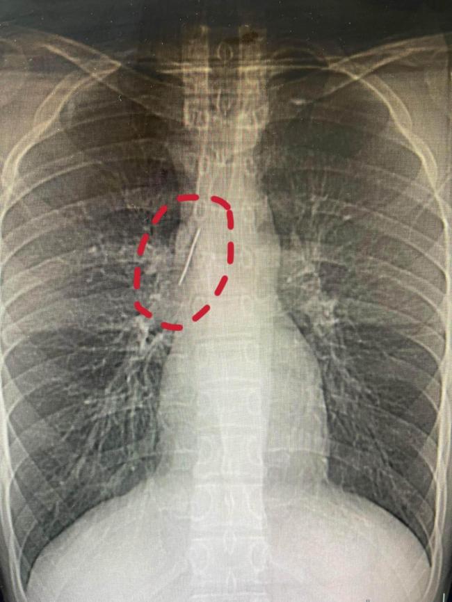
17岁的小陆在一次参军体检中意外发现了一个隐藏多年的秘密:一根长达5厘米的锈迹斑斑的缝衣针藏在他的胸腔里。这根针紧贴大血管、刺入肺组织,多年来竟毫无痛感,未引发感染或气胸,堪称医学奇迹。小陆对这根针的来源一无所知,成年后完全没有相关记忆
17岁的小陆在一次参军体检中意外发现了一个隐藏多年的秘密:一根长达5厘米的锈迹斑斑的缝衣针藏在他的胸腔里。这根针紧贴大血管、刺入肺组织,多年来竟毫无痛感,未引发感染或气胸,堪称医学奇迹。

小陆对这根针的来源一无所知,成年后完全没有相关记忆。根据他父母的回忆,十多年前,小陆曾莫名哭闹得很厉害,这枚针很可能从那时起就存在于他的体内。

小陆老家在安徽,从小跟着父母在嘉兴做水果生意,目前在富阳一所职高读书,身体素质一向不错。不久前,他满怀期待参加征兵体检,没想到胸片结果显示他的胸腔内有一处明显的金属高密度影,形态细长,像一根针。进一步CT检查确认,异物是一根金属针,斜插在肺组织内,针尖紧紧贴着胸主动脉和上腔静脉等重要血管,稍有位移就可能刺破血管引发致命大出血。

面对这一结果,小陆和家人非常震惊。针体已刺入肺实质,却没有造成气胸、血胸,也没有感染发炎。小陆平时跑跳、运动都毫无异常,从未出现胸闷、胸痛、咳血等症状。小陆父母反复回忆,终于想起十多年前小陆曾长时间哭闹不止,当时没找到原因,大概率就是那次意外导致针被扎入体内。
所有文章未经授权禁止转载、摘编、复制或建立镜像,违规转载法律必究。
举报邮箱:1002263188@qq.com