29岁230斤小伙一觉醒来突发脑梗 肥胖与不良习惯埋下隐患
沄森™2026-03-27
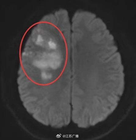
小潘今年29岁,平时饮食不节制且缺乏运动,还有吸烟的习惯,体重达到了115公斤。最近,他在早晨起床时突然感到头痛、视物模糊和口角歪斜。经过医院检查后发现,他患上了多发急性脑梗死
29岁230斤小伙一觉醒来突发脑梗肥胖与不良习惯埋下隐患!小潘今年29岁,平时饮食不节制且缺乏运动,还有吸烟的习惯,体重达到了115公斤。最近,他在早晨起床时突然感到头痛、视物模糊和口角歪斜。经过医院检查后发现,他患上了多发急性脑梗死。

在江苏省人民医院住院期间,医生注意到小潘的打鼾声异常响亮且不规律,常常出现鼾声骤停,憋气几十秒后再猛吸一口气的情况。医生立即为他进行了睡眠呼吸监测,结果显示小潘患有重度睡眠呼吸暂停低通气综合征。

长期肥胖、高血压以及吸烟导致了小潘脑血管动脉硬化和狭窄,而夜间严重的睡眠呼吸暂停和低氧血症缺氧进一步诱发了他的脑血管疾病。
医生提醒,如果出现鼾声响亮且不规律、反复呼吸中断、白天极度嗜睡、头晕头痛、乏力健忘、晨起口干舌燥、咽喉疼痛、夜间频繁起夜等症状,可能已不仅仅是单纯打鼾,而是存在睡眠呼吸暂停的风险,应及时就医进行睡眠呼吸监测。
所有文章未经授权禁止转载、摘编、复制或建立镜像,违规转载法律必究。
举报邮箱:1002263188@qq.com